명절연휴 응급수술 케이스 자궁축농증으로 확장된 자궁|울산 이승진동물병원
페이지 정보

본문
명절 연휴, 대부분의 병원이 문을 닫은 시간.
하지만 아이의 상태는 기다려주지 않습니다.
“이틀 전부터 토하고 설사해요.”
“기운이 너무 없어요…”
“생식기가 부어 있고 분비물이 나와요…”
이 증상, 단순 질병이 아닐 수 있습니다.
오늘은 실제 진료 케이스를 바탕으로
강아지 자궁축농증에 대해 이야기해보겠습니다.

명절연휴 응급진료 강아지 자궁축농증 사례

더 정확한 상태를 확인하기 위해 영상 검사를 진행했습니다.
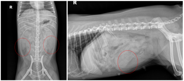
먼저 방사선 검사(X-ray)에서
➡ 복강 내에 연부조직 밀도의 원통형 구조물이 확인되었으며,
확장된 자궁으로 의심되는 소견이었습니다.

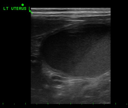
이후 시행한 초음파 검사에서는
➡ 양측 자궁각 내부에 echogenic한 액체(고름으로 추정되는 내용물)가
다량으로 차 있는 모습과 함께 자궁이 크게 확장된 상태가 확인되었습니다.
이러한 검사 결과를 종합하여 자궁 내에 고름이 축적되는 질환인
‘자궁축농증(Pyometra)’으로 최종 진단하였습니다.

자궁축농증 수술 진행 및 경과
꼬미는 자궁적출 수술(OVH)을 진행했습니다.
자궁축농증은 자궁 내부에 고름이 축적되는 질환으로,
치료가 지연될 경우 패혈증이나 전신 상태 악화로 이어질 수 있기 때문에
신속한 수술적 치료가 필요한 응급 질환입니다.
수술에서는 감염된 자궁과 난소를 모두 제거하여
몸 안에 남아 있는 감염 원인을 제거하는 것이 가장 중요합니다.
수술 전후에는 아이의 전신 상태를 안정적으로 유지하기 위해
집중 치료와 모니터링이 함께 진행되었습니다.

수술은 안정적으로 마무리되었으며,
입원 치료 동안 염증 수치는 점차 감소하며 회복 양상을 보였습니다.
퇴원 후 재내원 시
전반적인 상태는 양호했으며 위험한 상황이었지만
적절한 시점의 수술과 집중관리로 회복할 수 있었습니다.

위의 증상이 하나라도 해당될 경우
강아지 자궁축농증을 의심해볼 수 있습니다.
/
이승진동물의료센터는
✔ 명절 연휴에도 진료 가능
✔ 응급수술 상시 대응
✔ 야간 상태 악화 대비 시스템 운영
응급 상황에서
“병원이 문 닫아서 기다려야 하나요?”
라는 걱정을 하지 않으셔도 됩니다.
강아지 자궁축농증은 시간과의 싸움입니다.
초기에는 단순 위장 질환처럼 보일 수 있지만
패혈증으로 진행될 수 있는 위험한 질환입니다.
빠른 진단·정확한 수술 결정이 생명을 살립니다.
아이들이 아픈 날은 달력을 보지 않습니다.
이승진동물의료센터는 명절·연휴·공휴일에도
응급 진료와 수술이 가능하도록 항상 준비하고 있습니다.
아이의 작은 변화도 그냥 넘기지 마세요.
위험한 순간에도, 저희는 곁에 있겠습니다.
관련링크
- 다음글강아지 뱀물림 증상과 대처법, 산책 중 뱀에게 물렸어요|울산 이승진동물병원 26.04.01


Blog
Kakao Talk
Instagram




