진료케이스

보호자의 마음을 알고
생명의 가치를 존중합니다. 

LEE ANIMAL MEDICAL CENTER

진료케이스

수정체 탈구로 발생한 강아지 녹내장, 안구적출까지의 치료 여정|울산 이승진동물병원

페이지 정보

profile_image
작성자 이승진동물의료센터
댓글 0건 조회 249회 작성일 25-12-31 14:52

본문

충혈, 부종, 돌출 — 눈에서 이런 변화가 보이면

이미 상당히 진행된 신호일 수 있습니다.

강아지 녹내장은 시신경 손상이 빠르게 나타나기 때문에

조기 대응이 정말 중요합니다.


나이가 않은 반려동물에게는 더 빠른 악화가 나타날 수 있습니다.

이번 글에서는 실제 검사 과정과 치료 결정을 공유합니다.

비슷한 증상을 보이는 보호자님들께 도움이 되길 바랍니다.


cc52a523279e78f86d81b8f95c4a3e80_1767160011_1974.jpg
 

17살 말티즈 밀크(가명)는 약 10일 전부터 눈 충혈이 시작되었고,

시간이 지날수록 눈이 점점 붓고 커지는 증상을 보였습니다.

근처 병원에서 치료를 받았지만 호전되지 않아 본원으로 내원하셨습니다.


내원당시 밀크의 눈 상태


cc52a523279e78f86d81b8f95c4a3e80_1767160053_4672.png
 

내원 당시 좌안은 반대쪽과 비교했을 때 확실히 돌출되어 있었고,

각막 부종과 혈관 확장으로 인해 안구 내부 확인이 어려운 상태였습니다.

강아지 녹내장이 의심되는 상황이었기 때문에 즉시 안과 정밀검사를 진행했습니다.

‘강아지 녹내장’과 수정체 탈구 진단


안압 검사 결과

cc52a523279e78f86d81b8f95c4a3e80_1767160110_4646.png
 

검사 결과 좌안의 안압이 비정상적으로 매우 높았습니다.

임상 증상과 함께 강아지 녹내장으로 진단할 수 있었으며,

녹내장은 시신경 손상이 빠르게 진행되기에

조기 진단이 무엇보다 중요합니다.


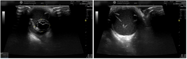
안구 초음파 검사

cc52a523279e78f86d81b8f95c4a3e80_1767160157_6638.png
초음파에서는 수정체가 뒤쪽으로 탈구된 상태가 확인되었습니다.

주변에는 출혈과 염증 산물이 보였고,

이미 망막박리가 진행되어 시력 회복이 어려운 단계였습니다.

안구가 비대해지고 시신경 압박이 심해

상당한 통증이 있었을 것으로 판단되었습니다.


‘강아지 녹내장’의 주요 원인 중 하나, 수정체 탈구

cc52a523279e78f86d81b8f95c4a3e80_1767160191_7052.png
정상적인 수정체는 인대가 단단히 지지하고 있지만,

외상·백내장·호르몬질환·노령 등

다양한 원인으로 인대가 손상되면 수정체가 탈구될 수 있습니다.


뒤쪽으로 탈구된 수정체로 인해 포도막염이 발생했고,

염증으로 안방수 흐름이 막히면서

결국 강아지 녹내장으로 이어졌습니다.

나이, 염증 정도, 통증 지속 상황을 종합적으로 고려해

보호자님과 상담 후 안구적출을 진행하기로 결정했습니다.


안구적출술의 대표적인 방법 2가지

1. Subconjunctival enucleation

– 결막과 연결된 근육·신경을 절단해 제거

– 수술 시간이 짧고 출혈이 적은 방식

2. Transpalpebral enucleation

– 눈꺼풀을 먼저 봉합한 뒤 전체를 제거

– 수술 후 삼출물이 적고 감염 관리에 유리

→ 밀크는 염증이 심해 감염 위험을 줄일 수 있는

 transpalpebral 방식으로 수술을 진행했습니다


밀크의 실제 안구적출술 진행 모습

cc52a523279e78f86d81b8f95c4a3e80_1767160247_3148.png
 

수술 후 경과

cc52a523279e78f86d81b8f95c4a3e80_1767160259_6496.png
 

밀크는 마취에서 무리 없이 잘 회복했고,

수술 부위 역시 안정적으로 아물었습니다.


cc52a523279e78f86d81b8f95c4a3e80_1767160273_1841.png
└3개월 뒤 재검 시 모습


많은 보호자님들이 걱정하시는 부분은 눈 모양 변화, 함몰, 삼출물입니다.

본원에서는 강아지 녹내장으로 안구적출이 필요한 환자들에게

삼출물이 최소화될 수 있는 수술 방식

심미적 부분까지 고려한 봉합법을 사용해 맞춤형 수술을 진행하고 있습니다.


/


‘강아지 녹내장’은 빠른 치료가 아이의 삶의 질을 지킵니다

강아지 녹내장은 통증이 심하고 시신경 손상이 빠르게 진행되는 질환입니다.

특히 수정체 탈구가 동반된 경우 진행 속도가 매우 빠르기 때문에

치료를 미루면 회복 가능성이 크게 떨어집니다.

안구적출은 보호자님 입장에서는 쉽지 않은 결정일 수 있지만,

아이의 통증을 줄여주고 삶의 질을 지켜주는 중요한 치료입니다.


이처럼 강아지 녹내장으로 인한 통증이 지속되거나

안구 돌출, 부종, 충혈이 보인다면 너무 늦기 전에

전문적인 상담을 받아보시는 것이 좋습니다.

강아지 녹내장에 대한 상담이 필요하시다면

이승진동물병원 안과 진료로 편하게 문의해주시기 바랍니다.

울산광역시 남구 삼산로 94 이승진동물의료센터 052-258-2516 | 사업자등록번호 : 610-17-66073
Copyright(C)2021 LEE ANIMAL MEDICAL CENTER. ALL RIGHTS RESERVED.