진료케이스

보호자의 마음을 알고
생명의 가치를 존중합니다. 

LEE ANIMAL MEDICAL CENTER

진료케이스

고양이 항암 치료 사례, 전기항암요법(ECT)|울산 이승진동물병원

페이지 정보

profile_image
작성자 이승진동물의료센터
댓글 0건 조회 105회 작성일 26-01-27 16:49

본문

고양이 피부 혹 ― 전침 항암 요법 치료(Electrochemotherapy, ECT)​가 필요했던 이유

“몇 년째 계속 생기던 혹이었는데, 설마 수술까지 이어질 줄은 몰랐어요.”

단순한 염증처럼 보였던 종괴가 갑작스럽게 단단해지고 진물이 발생한다면,

이는 고양이 피부혹이 아닌 고양이 피부종양 가능성을 반드시 고려해야 합니다.


7c160cf4333aca62f45b45de139b7bbb_1769499565_9006.png

내원 당시 소견

고양이 항암|울산 이승진동물병원 마이캣클리닉


미소(가명)는 몇 년 전부터 얼굴과 다리 부위에 반복적으로 생겼던 피부 혹을

여러 병원에서 염증으로 진단받아 소독 외 다른 치료는 하지 않고 지내왔었습니다.


그러나 최근에는 우측 볼 종괴가 단단해지고

일주일 사이 급격히 커지며 진물·출혈이 동반되어

보호자분께서 큰 걱정 속에 본원으로 내원하셨습니다.


신체검사 소견

-우측 안면부 단단한 종괴, 진물·염증·출혈 동반

-좌측 허벅지 종괴

-등쪽 작은 결절 다수 확인


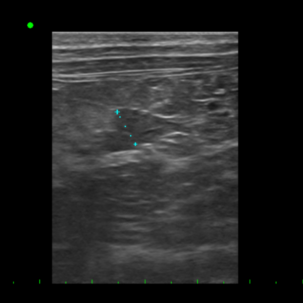
|세침흡인검사(FNA) 및 세포학 검사


7c160cf4333aca62f45b45de139b7bbb_1769499575_5912.png

정확한 진단을 위해 FNA검사 결과,

얼굴과 다리에서 비만세포 다수 확인

→ 비만세포종(MCT) 으로 진단되었습니다.


고양이 비만세포종은 피부에서 비교적 흔히 발견될 수 있으나,

악성도가 높고 전이가 되었을 경우

고양이 항암 치료 및 수술이 필요할 수 있어

빠른 치료 계획이 예후에 큰 영향을 미칩니다.


미소의 경우, FNA 세포학 검사상

악성도가 중등도~고등도로 확인되어

절제가 필요해 보였습니다.



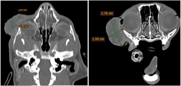
|영상검사 주요 소견


7c160cf4333aca62f45b45de139b7bbb_1769499590_0119.png

복부 초음파 검사에서는 비장 내 작은 결절과

췌장·장·방광 주변 경미한 변화가 확인되어

고양이 항암 검사 상 전이 가능성을 완전히 배제하기 어려운 상태였습니다.


7c160cf4333aca62f45b45de139b7bbb_1769499597_7682.png

추가로 진행한 CT 검사상에서도

우측 안면부 종괴가 악성 고양이 비만세포종(high grade MCT)으로 의심되었으며,

비장 결절도 전이성 비만세포종 가능성을 배제할 수 없었습니다.



치료 전략

전기항암요법(Electrochemotherapy, ECT)후 수술 진행


악성 비만세포종은 원칙상 종양 주위 2 cm를 함께 절제하는 것이 원칙이지만,

안면부 종괴는 머리 쪽 혈관·신경 구조물과 인접해 있어

초기 수술 시 넓은 마진 확보가 어려워 재발 가능성이 높습니다.


따라서 본원에서는 단순 절제보다

전기항암요법(Electrochemotherapy, ECT)​를 먼저 시행하여

종양 크기를 감소 및 임상증상을 개선시키는 방향으로 계획했습니다.

비장 결절의 경우 전이 가능성 때문에 비장 적출을 진행하기로 하였습니다.


7c160cf4333aca62f45b45de139b7bbb_1769499609_9253.png

7c160cf4333aca62f45b45de139b7bbb_1769499621_0225.png



ECT 진행 후 변화

종괴 크기 감소, 염증 개선


7c160cf4333aca62f45b45de139b7bbb_1769499642_9848.png

처음에는 종양에서 출혈과 짓물이 확인되었지만,

첫 번째 ECT 이후 3일차부터 출혈과 짓물은 확인되지 않았습니다.


또한 총 3회의 ECT를 단계적으로 진행한 결과,

종양의 특성상 종괴는 아래와 같은 경과를 보이며 감소하였습니다.


7c160cf4333aca62f45b45de139b7bbb_1769499656_013.png

비만세포는 히스타민, 헤파린, 세로토닌 등

알레르기 및 염증 반응에 관여하는 물질을 분비하기 때문에

가려움증이나 피부 염증을 유발합니다.


미소의 경우에도 긁어서 생긴 상처와 함께 피부 염증이 심각했으나,

고양이 항암 치료(ECT) 이후 완전히 개선되는 양상을 보였습니다.


7c160cf4333aca62f45b45de139b7bbb_1769499693_0405.png

즉, 전기항암요법을 통해 염증을 조절하고

고양이 종양 수술이 가능할 정도로 종양 크기를 안전하게 줄인 후

외과적 절제를 진행하였습니다.


치료 경과

현재 미소의 모습은?


7c160cf4333aca62f45b45de139b7bbb_1769499707_3486.png

3차 ECT 이후 종괴가 충분히 감소하여 외과적 종괴 절제술을 시행하였고,

수술 후 조직은 안정적으로 회복되는 양상을 보였습니다.

이 과정은 고양이 항암 치료 중

전기항암요법(ECT)이 수술을 보조하는 방식으로

큰 역할을 한 케이스라 할 수 있습니다.


현재 미소는 식욕·활력 모두 양호하며,

절제 부위 또한 잘 회복되어 매우 안정적인 경과를 보이고 있습니다.

정기적인 경과 관찰을 통해 재발 여부 및 잔존 조직 변화를 확인할 예정입니다.


육안상 단순 고양이 피부혹처럼 보이더라도

갑작스러운 크기 변화, 색 변화, 진물·출혈이 동반된다면

고양이 항암 치료가 필요한 종양일 가능성을 반드시 고려해야 합니다.

반려묘의 미묘한 변화가 보인다면,

늦기 전에 검진과 상담을 부탁드립니다.


/


울산 이승진동물의료센터 마이캣클리닉에서는

고양이 피부종양 및 비만세포종 등 고양이 항암 치료가 필요한 질환에 대해

연부조직·종양외과 과장님과의 긴밀한 협진을 바탕으로

세침흡인검사(FNA), 초음파·CT 등 정밀 영상검사를 시행하고,

전기항암요법(ECT)과 외과적 절제를 병행한 맞춤 치료 전략을 수립합니다.

반려묘의 삶의 질과 예후를 최우선으로 고려한 진료로 끝까지 함께하겠습니다.


울산광역시 남구 삼산로 94 이승진동물의료센터 052-258-2516 | 사업자등록번호 : 610-17-66073
Copyright(C)2021 LEE ANIMAL MEDICAL CENTER. ALL RIGHTS RESERVED.