절뚝거림의 원인이 강아지 발가락 부러짐?|울산 이승진동물병원 강아지골절
페이지 정보

본문
“갑자기 다리를 들고 걷는다면?”
보호자들이 꼭 알아야 할 중요한 신호
갑자기 한쪽 다리를 들고 걷는 모습,
잠깐 삐끗한 것처럼 보여서
대수롭지 않게 넘기기 쉽지만
강아지 골절이나 인대손상의 징후일 수 있습니다.
강아지 발을 구성하는 뼈 구조
골절케이스 알아보기 전 check!
강아지 발을 구성하는 뼈의 골절은
겉으로 붓거나 변형이 크지 않은 경우도 많아
보호자가 놓치기 쉬운 손상 중 하나입니다.
산책 중 갑자기 절뚝거리거나,
집 안에서 뛰다가 갑자기 움직임을 멈추고
다리를 들고 서 있는 모습이 반복된다면
강아지 발등이나 발가락 강아지 골절 가능성도
반드시 고려해야 합니다.


강아지 골절 실제 사례
강아지 발허리뼈 부러짐 진료 사례
이 환자는 갑작스럽게 왼쪽 뒷다리를
절뚝거리는 증상이 나타나 타 병원에 먼저 내원하였고,
영상 검사상 좌측 후지 발허리뼈 골절소견을 받았습니다.
이후 보다 정확한 평가와 치료를 위해 본원에 내원하였습니다.
내원 당시 아이는 식욕과 활력은 전반적으로 양호한 상태였으나,
통증으로 인해 평소보다 움직임이 줄어들고
왼쪽 뒷다리에 체중을 싣지 않으려는 모습이 관찰되었습니다.

이를 통해 신경학적 문제나 관절 질환보다는
→ 국소적인 강아지 골절 가능성에 무게를 두고
추가 정밀 검사를 진행하였습니다.
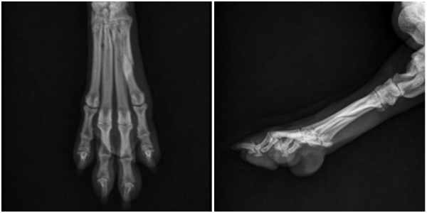
영상 검사(X-ray)를 통한 정밀 진단
정확한 병변 위치와 골절 형태를 확인하기 위해
방사선(X-ray) 검사를 시행하였습니다.
→ 영상 검사 결과
좌측 후지 5번째 발허리뼈에서
골절선이 명확히 확인되었으며, 골절 부위의 안정성이 떨어져
보존적 치료만으로는 회복이 어렵다고 판단하였습니다.
강아지 발허리뼈는 보행 시
지속적으로 체중이 실리는 부위이기 때문에
골절이 불안정할 경우
• 통증의 장기화
• 부정 유합
• 만성 파행
으로 이어질 수 있습니다.
이에 따라 본원에서는 플레이트 고정술을 통한
수술적 치료를 계획하였습니다.
강아지 발허리뼈 골절 수술 진행
수술은 큰 문제 없이 무사히 마무리되었습니다.
강아지 골절 수술 이후 아이는 전반적인 컨디션이 안정적이었으며
점차 다리 사용이 자연스러워지는 모습을 보였습니다.
→ 수술 부위 또한 염증, 부종, 통증 반응 없이
양호하게 유지되고 있었습니다.
이후 재진 당일 시행한 방사선 검사에서도
플레이트·나사는 안정적으로 유지되고 있으며,
골 유합이 점차 진행되는 소견이 확인되었습니다.
/
강아지 골절, 왜 초기가 중요한가요?
강아지 발을 구성하는 뼈의 부러짐은
“작은 뼈니까 괜찮겠지” 하고 방치할 경우
만성 통증·보행 이상·관절 부담 증가로 이어질 수 있습니다.
반대로 조기에 정확한 진단과 골절 형태에 맞는
적절한 고정 치료가 이루어진다면
충분히 좋은 예후를 기대할 수 있습니다.
울산 이승진동물의료센터는
정형외과 수술 경험이 풍부한 의료진
정확한 영상 진단을 기반으로 한 치료 계획
수술 후 경과까지 책임지는 체계적인 관리 시스템
을 통해 강아지 발가락부러짐과 같은
섬세한 골절 케이스도 아이의
‘다음 걸음’까지 함께 고민하고 치료합니다.
반려견의 절뚝거림이 보인다면,
망설이지 말고 빠르게 상담 받아보세요.


Blog
Kakao Talk
Instagram




