진료케이스

보호자의 마음을 알고
생명의 가치를 존중합니다. 

LEE ANIMAL MEDICAL CENTER

진료케이스

강아지 슬개골탈구 재수술, 왜 더 신중해야 할까요?|울산 이승진동물병원

페이지 정보

profile_image
작성자 이승진동물의료센터
댓글 0건 조회 52회 작성일 26-03-06 10:33

본문

슬개골탈구 수술을 이미 했는데도

다시 절뚝거리거나 한쪽 다리에 힘을 못 싣는다면

강아지 슬개골탈구 재수술이 필요한 상황일 수 있습니다.


5910fc664a9fa5a4e3fd1326c4b965af_1772761017_627.png
 

슬개골탈구 재수술은 첫 수술보다 훨씬 복합적이며,

정확한 원인 분석과 경험있는 정형외과적 판단이 무엇보다 중요합니다.

강아지 슬개골탈구는 비교적 흔한 정형외과 질환이지만,

모든 수술이 한 번으로 끝나는 것은 아닙니다.


특히 수술 후에도 다리가 돌아가며 걷거나 체중을 제대로 싣지 못하고

보행이 점점 어색해지며 다리를 들고 다니는 경우

이는 단순 회복 과정이 아니라 재수술을 고려해야 하는 신호일 수 있습니다.



강아지 슬개골탈구 재수술, 왜 더 어렵고 중요할까요?

울산 이승진동물병원 슬개골탈구 재수술


5910fc664a9fa5a4e3fd1326c4b965af_1772761080_0909.png
 

| 수술 병력과 현재 상태의 정확한 분석

하쿠(가명)은 이미 수술을 받은 관절은

• 해부학적 구조 변화

• 관절 스트레스 및 퇴행성 변화

• 연부조직 손상이 동반되어

└ 재수술 시 더 정밀한 접근이 필요하였습니다.



| 재수술 필요 소견


5910fc664a9fa5a4e3fd1326c4b965af_1772761099_7019.png
정밀 검사 결과

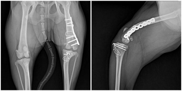
- 좌측 슬관절에서 슬개골 재탈구

- anatomic lateral distal femoral angle (aLDFA) 약 114°로 확인

- 슬개골 경화 및 주변 골증식체

- 관절 삼출 증가

- 십자인대 단열 소견 확인되지 않음

➡ 이는 단순 통증 문제가 아닌

  구조적 문제로 인한 ​슬개골탈구 재수술

  적응증에 해당하였습니다.


5910fc664a9fa5a4e3fd1326c4b965af_1772761151_1188.png
5910fc664a9fa5a4e3fd1326c4b965af_1772761151_2449.png
 

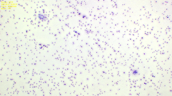
관절액 세포검사 결과

- 전반적으로 낮은 세포 충실도

- 대부분 섬유모세포 및 일부 염증세포로 구성

- 감염체 및 탐식세포 미확인

➡ 만성·퇴행성 관절 변화로 판단,

  감염이 아닌 구조적 문제에 집중하여

  안전하게 강아지 슬개골탈구 재수술을

  진행할 수 있었습니다.


5910fc664a9fa5a4e3fd1326c4b965af_1772761210_5502.png
 

강아지 슬개골 내측 탈구 수술

단순히 슬개골을 고랑 내에 위치시켜주는 수술이 아닙니다.

강아지 슬개골 내측 탈구는 허벅지 근육–슬개골–정강이뼈가

일직선으로 맞지 않아 슬개골이 안쪽으로 밀려나는 문제이기 때문에, 

수술의 핵심은 이 세 구조의 축을 다시 곧게 맞춰 슬개골이 정상 위치에서

안정적으로 움직이도록 교정해 주는 것입니다. 


슬개골탈구 재수술 진행 이 후 경과와 재활의 중요성

하쿠(가명)는 고랑성형술과 경골결절변위술·외측 연부조직 봉합술만으로는

교정이 충분하지 않았고 허벅지뼈가 안쪽으로 휘어진 변형까지 확인되어

이를 바로잡는 대퇴골 교정 절골술이 추가로 필요했습니다.


5910fc664a9fa5a4e3fd1326c4b965af_1772761255_0191.png
5910fc664a9fa5a4e3fd1326c4b965af_1772761255_1018.png
5910fc664a9fa5a4e3fd1326c4b965af_1772761255_1796.png
 

하쿠(가명)는 이미 여러 차례 수술을 받으면서

관절의 퇴행성 변화가 진행되었고 

주변 인대와 연부조직도 함께 약해진 상태여서, 

일반적인 경우보다 운동 제한 기간이 더 필요했고, 

재활을 통해 근육량을 회복하고

관절을 지지하는 조직을 강화해야 했기 때문에 

정기적인 재활운동이 반드시 필요했습니다.


5910fc664a9fa5a4e3fd1326c4b965af_1772761276_0397.png
5910fc664a9fa5a4e3fd1326c4b965af_1772761300_6363.png
 


보호자님께서 멀리서까지 찾아오실 만큼 처음에는 걱정이 많으셨고,

여러 차례 재진과 재활 치료로 과정이 번거로우셨지만 

현재는 아이가 활발하게 뛰어다니는 일상을 회복한 모습을 보시며 

전반적인 치료 결과에 대해 만족해하고 계십니다.


강아지 슬개골탈구 재수술은

단순히 다시 고정하는 수술이 아닙니다.

• 왜 다시 탈구되었는지

• 뼈 정렬에 문제는 없는지

• 관절 내 염증이나 감염은 없는지

• 재활과 관리가 적절했는지

이 모든 과정을 종합적으로 판단해야

아이에게 다시 한 번 제대로 된 기회를 줄 수 있습니다.


이승진동물의료센터 외과센터​는

강아지 슬개골 내측 탈구 재수술을 단순한 ‘다시 하는 수술’이 아닌

처음부터 끝까지 책임지는 치료 과정으로 접근합니다.

재수술부터 재활 치료까지,

아이의 보행과 삶의 질을 다시 되찾는 여정에

이승진동물의료센터가 함께하겠습니다.

울산광역시 남구 삼산로 94 이승진동물의료센터 052-258-2516 | 사업자등록번호 : 610-17-66073
Copyright(C)2021 LEE ANIMAL MEDICAL CENTER. ALL RIGHTS RESERVED.