강아지 담낭 파열 증상과 예방, 담낭절제술 사례 | 울산 이승진동물병원
페이지 정보

본문
강아지가 갑자기 구토를 하고,
배를 만질 때 아파하거나 웅크린 자세로 있나요?
단순한 몸살이나 소화불량이 아닌,
담낭 파열의 위험이 있을 수 있습니다.
울산 이승진동물병원에서
강아지 담낭 파열 응급 수술로 생명을 지킨
실제 사례와 함께, 증상·예방 방법을 알려드립니다.
―
'담낭'이란 무엇인가요?
담낭(gallbladder)은 간 옆에 붙어 있는
작은 주머니로, 간에서 만들어진 담즙(쓸개즙)을
저장하는 역할을 합니다.
담즙은 음식, 특히 지방을 소화하는 데
중요한 소화액입니다.
하지만 이 담즙이 너무 걸쭉해지거나 (슬러시 현상),
점액종으로 진행될 경우 담낭벽이 약해지며
염증, 괴사 또는 파열로 이어질 수 있습니다.
담낭이 파열되면?
담낭이 터지면 그 안의 담즙이 복강 내로 퍼지게 되어,
복막염(복강 내 염증)을 일으켜
생명을 위협하는 응급상황이 됩니다.
조기 발견과 즉시 병원 내원이
생명을 살리는 열쇠입니다.
어떤 증상이 있나요?
담낭 파열은 갑자기 진행되기도 하고,
이전에 담낭 점액종, 담낭염 등의 증상이
선행되기도 합니다.
대표적인 증상은 다음과 같습니다.
· 심한 구토, 식욕부진
· 배를 만지면 아파하거나 웅크린 자세
· 복부 팽만, 복통
· 무기력, 호흡 곤란
· 황달
· 발열, 탈수, 쇼크
· 심하면 의식 저하, 호흡 이상, 패혈증 진행될 수 있음
▼▼▼
5살 포메라니안 OO이의 보호자님께서는
기력 저하와 식욕 부진, 간 수치 상승 소견으로
내원하셨습니다.

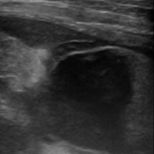
→ OO이의 영상 진단(초음파)에서 담낭 파열이 확인되어
이후 신속한 담낭제거술을 진행했습니다.
무사히 퇴원하였습니다.
…
진단은 어떻게 할까요?
혈액검사: 간 수치 상승, 염증 수치 증가
복부 초음파: 담낭벽의 파열, 담즙의 복강 내 누출 확인
복수 검사: 담즙이 복강 내에 퍼졌는지 확인
치료법은 무엇인가요?
· 수술적 담낭 절제술(cholecystectomy)
· 파열된 담낭 제거 후, 주변 복강 세척 및 배액
· 강력한 항생제 치료
· 패혈증이나 복막염 예방 및 치료
· 수액 치료 및 집중 치료
· 쇼크 방지, 전해질 및 영양 공급
담낭이 파열된 경우, 응급 수술이 필수입니다.
시간이 지날수록 복막염과 패혈증 위험이 커져
치명적일 수 있기 때문입니다.
특히 파열 후 수 시간 내에
쇼크나 다장기 부전이 올 수 있어
시간이 생명이라는 점을 꼭 기억해 주세요.
의심 증상이 보이면
즉시 동물병원 응급실로 내원하는 것이 중요합니다.
조기에 수술 및 집중 치료를 받으면
생존 가능성이 올라가지만,
이미 쇼크 상태이거나 패혈증이 진행된 경우
예후가 나빠질 수 있습니다.
이를 예방하려면?
담낭 파열의 많은 경우는 주로 심한 담낭 슬러지 혹은
점액종 등 기존 질환이 원인입니다.
이러한 담낭 슬러지, 점액종은 고지혈증과
연관성이 있으며, 고지혈증의 원인을 제공하는
대표적인 질환으로는 부신피질 기능항진증(쿠싱),
갑상선 기능저하증이 있습니다.
· 7세 이상 중장년견은 정기적인 복부 초음파 검사
· 간 기능 수치 주기적 확인
· 구토, 식욕부진 반복 시 빠른 진료
· 지방이 많은 음식은 피하기
특히 셰틀랜드 쉽독, 미니어처 슈나우저, 푸들 등은
담낭 질환에 취약하므로 더욱 주의가 필요합니다.
관련링크
- 이전글16세 노령견의 질 종양 수술 사례 | 울산 이승진동물병원 25.09.29
- 다음글고양이 치아흡수성병변, 발치와 방사선 리포트까지 | 울산 이승진동물병원 25.09.26


Blog
Kakao Talk
Instagram





