16세 노령견의 질 종양 수술 사례 | 울산 이승진동물병원
페이지 정보

본문
노령견 질 종양, 치료를 포기하지 마세요.
많은 보호자분들이
"이 나이에 수술이 가능할까요?"
"마취는 괜찮을까요?"
하는 걱정으로 치료를 망설이곤 하십니다.
하지만 노령견의 종양도
정확한 진단과 안전한 마취 시스템이 뒷받침된다면
충분히 수술로 회복을 기대할 수 있습니다.
안녕하세요. 울산 이승진동물병원입니다.
오늘은 실제로 16세 암컷 비숑프리제 환자의
질 종양 제거 수술을 성공적으로 진행하고,
배변 장애까지 회복된
의미 있는 사례를 소개해드립니다.
"이 글은 울산 남구에 위치한 이승진동물병원에서
실제 진료한 케이스를 바탕으로 작성되었습니다."
―
이번에 치료받은 환자, 봄이(가명)는
활발하게 잘 지내던 아이였지만,
최근 몇 달 사이 다음과 같은 증상이 나타났습니다.
· 손톱 크기의 매우 작은 변
· 배변을 한 번에 하지 못함
· 배변 시 불편함을 보임
집 근처 병원에 내원했다가,
복강 내 큰 종양이 확인된다는 소견을 받고
정밀 진단을 위해 본원으로 내원하셨습니다.
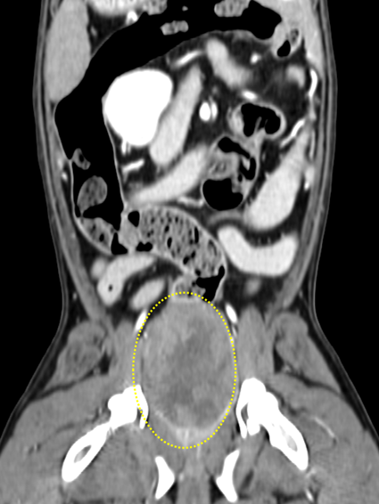
골반강 내 대형 질 종양 발견
전산화단층촬영(CT)결과,
골반강 내 위치한 질의 원위부에
크기가 큰 타원형 종괴
(W 3.4cm * L 5.7cm * H 3.4cm)가 확인되었고,
질 근위부까지 이어져 내측으로 돌출되어
관찰되어 질 근육층 유래 종양이 의심되었습니다.
종양은 질 외벽에서 시작되어
근위부까지 확장되어 있었고,
내부에는 혈관이 풍부하고 중심부 괴사가 동반되어
악성 종양의 가능성을 고려해야하는 상태였습니다.
이 종양으로 인해 직장은 심하게 압박되어
부분 폐색이 의심되었고,
유착도 의심되는 상태여서 수술 시
정밀한 조직 분리와 절제가 필요한 케이스였습니다.

골반강 내에서 크게 확인되는 종괴

종괴로 인해 (노란타원) 압박받은 직장(화살표)직장.
- 내강이 거의 관찰되지 않을 정도로 압박되어 있어 배변에 어려움이 있었을 것으로 판단됨.
다행히 폐나 복부 장기로의 전이 소견은 없어서,
수술을 진행할 수 있는 상태로 판단되었습니다.
치료 계획 및 수술 진행
수술 계획은
· 질 종양 절제
· OHE (난소자궁적출) 동시 진행이었습니다.
봄이의 질 종양은 골반강 깊숙이 위치해 있어,
일반적인 개복 수술만으로는
접근이 어려운 구조였습니다.
이에 따라 치골 절제술을 병행한
특수 접근이 필요했으며,
이는 특히 고령 환자에게는 회복 과정에서
부담이 될 수 있는 방법입니다.
또한 종양이 직장과 일부 유착되어 있어,
수술 중 완전 절제가 어려울 가능성까지
고려해야 했습니다.
질 종양의 경우 상당수가
호르몬 의존성 종양이기 때문에,
완전 절제가 불가능하더라도 종양 부피를 줄이는
debulking 개념의 수술과 함께
암컷 중성화를 시행하면
난소 제거로 호르몬 공급이 차단되어
종양 세포의 증식이 억제되고,
일부 크기 감소나 위축 효과를 기대할 수 있습니다.
현재 봄이는 배변 곤란이라는
심각한 증상을 보이고 있었기에,
수술로 인한 이점이 크다고 판단되었습니다.
보호자님께 수술 방법과 위험성,
그리고 기대 효과까지 상세히 설명드렸고,
고령이라는 점에서 우려되는 부분과
마취·회복 계획까지 충분히 논의했습니다.
보호자님께서는 깊이 고민하신 끝에,
봄이의 삶의 질 개선을 위해 수술을 결정해 주셨습니다.
수술 후 경과 및 회복 과정
다행히 수술은 예상보다 순조롭게 진행되었습니다.
→ 종양의 주요 덩어리는 완전 절제
→ 직장과 유착된 부위도 손상 없이 성공적으로 박리
→ 수술 후 점차 회복되는 배변 기능
이 후 조금 긴 기간의 입원치료를 거쳤지만,
식욕과 활력을 조금씩 되찾고
마지막 검진 시에
매우 건강한 상태를 보여주었습니다.
조직검사 결과 - 양성 종양!
수술 후 진행한 조직병리검사 결과,
걱정했던 악성은 아니었습니다.
다행히 양성 종양으로 진단되었고,
이번 수술만으로 완치를
얻을 수 있었던 뜻깊은 사례였습니다.
"고령이어도 치료는 가능합니다."
이번 노령견 질 종양 수술 사례는
정확한 진단과 치료 계획 수립,
보호자와의 충분한 상담을 바탕으로한
신중한 판단과 적극적인 치료가
환자의 예후와 삶의 질에 얼마나 큰 변화를
가져올 수 있는지를 명확히 보여줍니다.
비록 악성 종양일 가능성이 있더라도,
수술을 통해 종양의 부피를 줄이고 필요 시
항암치료를 병행하면 아이의 불편감을 줄이고
남은 시간을 보다 편안하게 보낼 수 있도록,
삶의 질을 크게 향상시킬 수 있습니다.
\
울산 이승진동물병원의 수술 및 마취 시스템
· 고령견 및 고위험 환자 전용 마취 프로토콜 운영
· 수술 전 정밀 영상진단(CT/MRI) 기반 수술 계획 수립
· 수술 전,후 회복까지 전담 주치의와 간호팀의 집중 관리
노령견에게서 배변이나 배뇨 이상의 증상이 있다면
단순한 노화의 증상이 아닐 수 있으므로,
정확한 진단을 위해 검진을 추천드립니다.
앞으로도 울산 이승진동물병원은
환자 개별 상태에 맞춘 최적의 진료를 위해
늘 고민하고 최선을 다하겠습니다.
관련링크
- 이전글선천성 뇌기형 및 뇌수두증, 환축추 아탈구(AAI)가 동반된 강아지의 정밀 진단과 수술 치료 사례 25.09.29
- 다음글강아지 담낭 파열 증상과 예방, 담낭절제술 사례 | 울산 이승진동물병원 25.09.26


Blog
Kakao Talk
Instagram





