선천성 뇌기형 및 뇌수두증, 환축추 아탈구(AAI)가 동반된 강아지의 정밀 진단과 수술 치료 사례
페이지 정보

본문
강아지가 평소와 달리 걷는 게 불편해 보일 때,
슬개골 탈구나 관절 문제를 먼저 떠올리게 됩니다.
하지만 그 증상은 선천성 뇌수두증,
환축추 아탈구(AAI) 같은 신경계 질환으로 인한
증상 일 수 있습니다.
안녕하세요. 울산 이승진동물병원입니다.
오늘 소개해드릴 환자, 1살 6개월령 포메라니안
'코코(가명)'의 사례가 바로 그런 경우였습니다.
―
어릴 때부터 슬개골 탈구가 있다는 진단을 받은
코코는 최근 들어 걷다가 주저앉거나
양쪽 뒷다리가 미끄러지는 일이 잦아져
본원에 내원하게 되었습니다.
보호자님은 슬개골 수술을 염두에 두고 방문하셨으나
실제로 코코의 걸음걸이를 평가한 결과,
일반적인 슬개골 탈구에서 보이는 파행과는
다른 신경학적 이상이 의심되었습니다.
진료 및 영상 진단 과정
진단을 위해 촬영한 초기 X-ray 및 촉진 검사 결과,
코코는 다음과 같은 질환을
가지고 있었습니다.
· 양쪽 슬개골 탈구 좌측 3기, 우측 4기 진단
· 슬관절과 고관절의 경미한 아탈구 및 퇴행성 변화 확인
하지만 보행 평가와 신경학적 검사에서,
1) 뒷다리의 전반적인 근력 약화 및 자세 유지능 저하
2) 넓은 보폭, 어기적거림 (ataxic gait)
3) 걸음이 불안정하여 지속 보행 시 쉽게 주저앉는 모습
다만, 사지의 고유수용성 반사와 hopping 반사 등
기본 신경학적 검사는 정상 범위였습니다.
비록 뚜렷한 신경학적 이상 소견은 나타나지 않았으나
환자의 보행 양상이 단순히 슬개골 탈구로 인한
파행이 아니라 운동실조의 초기 증상일 가능성을
배제할 수 없었습니다.
이에, 신경계 질환 여부를 확인하기 위한
추가 정밀 검사를 진행하였습니다.
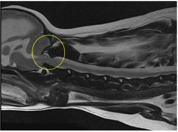
MRI/CT 정밀 영상검사 결과
환축추 아탈구 AAI, 뇌기형 및 수두증
① 환축추 아탈구 (Atlantoaxial Instability, AAI)
- 제1경추(atlas) 와 제2경추(atlas) 사이의 간격이 넓어짐
- 치아돌기(dens) 변위로 인한 척수 압박 유발
- 횡인대와 익인대가 비정상적이거나 관찰되지 않아, 선천적 인대형성 이상 또는 파열 의심
- 척수 내 presyrinx(부종) 및 syringomyelia(척수 공동증) 소견이 나타남
- 이외에도 C2 부위의 dural band와 일부 경추 디스크 퇴행성 변화가 확인됨
② 뇌 기형 및 수두증
- 후두골 기형(Occipital malformation) 으로 인해 소뇌 압박
- 연수의 구부러짐 (medullary kinking) 및 CSF 흐름 장애 발생
- 제1경추의 후방 구조가 두개골과 겹치는 atlanto-occipital overlapping(AOO) 소견도 동반되어,
- 추가적인 뇌압박이 유발
- 뇌실 확장(ventriculomegaly) 및 선천성 수두증(hydrocephalus) 확인
- 다수의 두개골 결손(calvarial defects) 도 관찰되었으나, 뇌 탈출은 없는 상태
종합적인 영상 소견을 바탕으로
다음과 같은 복합적인 신경계 질환이 진단되었습니다.
< 최종 진단 >
1. Atlantoaxial Instability 환축추 아탈구(AAI)
2. Congenital Hydrocephalus → 선천성 뇌수두증
3. Occipital Dysplasia & AOO → 후두골 및 경추 기형
4. Syringomyelia → 척수 공동증
5. 두개골 결손(calvarial defects)
이에 따라 다음과 같은 수술적 치료를
동시에 시행하는것으로 계획하였습니다.
" 환축추 아탈구 교정술 + VP shunt "
두 수술 모두 난이도가 상당하며,
일반 병원에서 쉽게 이루어지기 어려운 수술입니다.
1. VP Shunt (Ventriculoperitoneal Shunt) 삽입
: 과도한 뇌척수액(CSF)을 복강으로 우회 배출시켜 뇌압을 낮추는 수술
2. AAI 고정 수술
: 경추의 불안정 부위를 고정하여 척수 압박을 해소하고 신경 손상을 예방하는 수술
AAI 수술 후 핀과 레진이 삽입된 모습 (좌) , VP shunt 수술 후 복강 내로 카테터가 삽입되어 있는 모습 (우)
→ 수술 후 코코는 약 2~4주간의 회복 기간을 거치며,
보행 이상 증상이 많이 호전되었고,
이전보다 밝고 활발한 성격을 되찾게 되었습니다.
코코는 슬개골 탈구의 정도가 심하기 때문에,
충분한 회복 후 슬개골 탈구 교정 수술이
추가로 필요합니다.
"슬개골 탈구인 줄 알았는데,
뇌기형과 환축추 아탈구였어요."
코코처럼 겉으로는
단순한 정형외과 문제(슬개골 탈구)처럼 보이지만,
경험이 풍부한 의료진의 정밀한 평가와
수준 높은 영상 진단을 통해 신경계 질환으로
진단되는 경우가 드물지 않게 있습니다.
울산 이승진동물병원은 진단부터
정형/신경계 수술이 동시에 필요한
복잡한 케이스에 대한 치료까지
내과, 외과, 마취, 영상팀의 협진 아래
모두 안전하게 이루어질 수 있습니다.
관련링크
- 이전글간문맥 전신단락(PSS) 증상과 치료, 실제 수술 사례 25.09.29
- 다음글16세 노령견의 질 종양 수술 사례 | 울산 이승진동물병원 25.09.29


Blog
Kakao Talk
Instagram





